Console Advance
An image processing unit that integrates all FDR and FCR systems, and contributes to a more efficient workflow.
Simple and straightforward operation
Console Advanced is the heart of every FDR and FCR system.
It uses Fujifilm's image processing and information technology developed over many years to enable image optimization.
The sophisticated interface is intuitive and customizable, and the optional touch screen monitor allows quick and precise operation.
Connected panels are displayed using color coded buttons, enabling the radiographer to easily confirm the panel selected.
By simply selecting a button, the panel can be changed quickly and accurately.



The status of the connected panels can be checked at a glance.
Charge level, Wi-Fi connection, Ready to shoot etc.

Complete common workflow steps in as few clicks.
Enter the patient information and click the green button.
When connected to RIS, patient information can be obtained with a one click.

Select the exposure menu and click the green button.
When connected to RIS, exposure menu information also can be obtained with patient information.
The exposure is ready.

Fujifilm's image processing technology
Dynamic Visualization II
Image quality using advanced exposure recognition algorithms
Fujifilm’s original algorithms automatically adjust contrast and density for individual body parts based on calculation of estimated 3D image data.

Improved control of the density and contrast in areas with overlapping tissue provides clearer observation.

Improved detection and display of the Skin edge and outline of lumber spine in patients with increased thickness.

In this spinal image, by suppressing black-out and white-out in the image, the alignment of the entire vertebral column and spinal kyphosis is greater visualized.
FNC2 - New Flexible Noise Control
suppressing complex noise components from the image
FNC2 extracts the noise component in the image by recognizing complex line and dot components as well as estimating the noise amount in relation to body thickness.



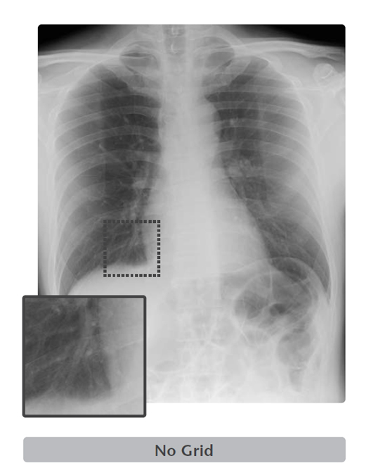
Virtual Grid
Image processing that remove the scatter X-rays from the digital radiography created without a physical grid.
Virtual Grid is an image processing software that corrects for the effects of scatter X-rays that otherwise reduce image contrast and clarity.
Without the need for physical grid, this software quickly predicts and then corrects for the effects of scatter X-rays, creating an improved image quality.




High quality images can be obtained under low dose conditions, thus reducing the amount of radiation does the patient receives
Virtual Grid selection
Virtual Grid allows setting of the grid ratio, number of grid lines and interspace material, and examinations using the appropriate grid conditions.
Just as for a physical grid, different Virtual Grid settings can be used, best suited for the different regions and exposure conditions.
Of course, as it is a virtually created grid, the grid type can be changed after an exposure.
Virtual Grid can be applied to all body parts. (Excluding breast imaging)

Body Movement Detection
Automatic detection of patient's body movement which may cause degradation of image quality
Body movement is detected by using object recognition and edge detection technology, to measure the sharpness of a high contrast “edge” in the image.


Blur caused by body movement
Body movement cause blurring in the image, which reduces sharpness.
Highlighting of Gauzes and Catheter
Enhanced image highlight presets provide a simple and smart confirmation of gauzes and catheters.
Images can be displayed by applying the emphasis parameters set in the exposure menu. As a result, it is expected that gauze and catheters will be easier to check.

